Mit Kokain im Bauch auf Reisen: Zoll schnappt Körperschmuggler
Köln - Weil er sich bei einer Kontrolle am Köln/Bonner Flughafen auffällig verhalten hatte, wurde der Zoll auf einen Mann (38) aufmerksam, der Drogen in seinem Bauch schmuggeln wollte.
Die Maßnahme habe bereits am 4. November am Fernbusbahnhof des Airports stattgefunden, berichtet der Kölner Zoll nun. Im Visier der Beamten stand dabei ein Reisebus, der auf dem Weg von Den Haag nach Frankfurt am Main war.
Bei der Überprüfung der Fahrgäste fiel der Niederländer mit widersprüchlichen Aussagen zu seiner mehrtägigen Reise, seinem nervösen Verhalten sowie seinem auffallen geringen Gepäck auf.
Ein daraufhin angeordneter Drogenwischtest an den Handinnenflächen des 38-Jährigen zeigte ein positives Ergebnis in Bezug auf Kokain an, woraufhin der Mann in einem nahegelegenen Krankenhaus weiter untersucht wurde.
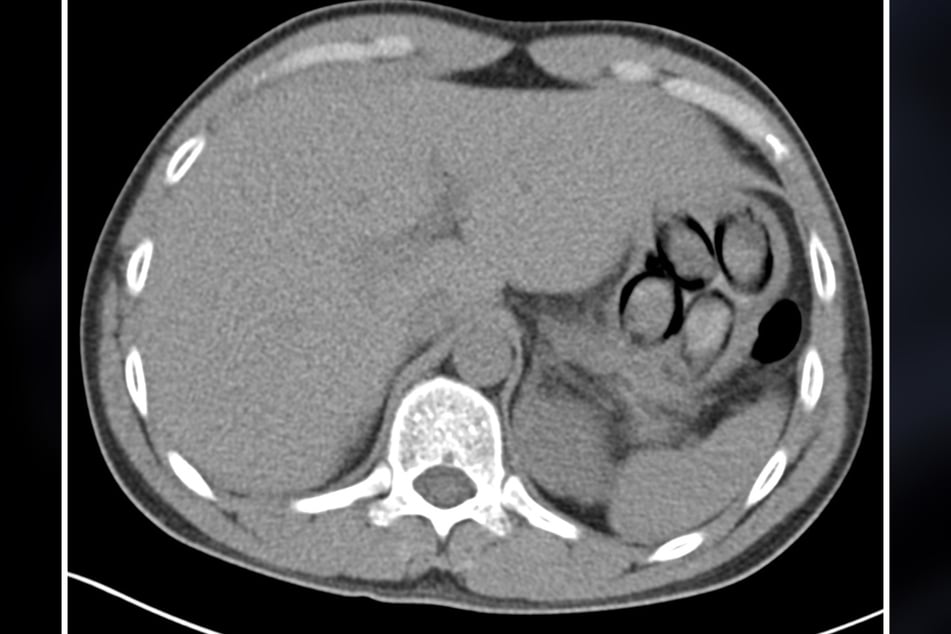
Auf einer dort angefertigten Röntgenaufnahme waren dann "mehrere Drogenpäckchen klar zu erkennen", berichtet Jens Ahland, Sprecher des Kölner Hauptzollamts, und ergänzt: "Insgesamt schied der Mann unter Überwachung sieben sogenannte Bodypacks mit insgesamt mehr als 100 Gramm Kokain aus."
Kölner Hauptzollamt weist auf tödliche Gefahren des Körperschmuggels hin
Es ist nicht der erste Fall des sogenannten Körperschmuggels, der den Kölner Zoll in diesem Jahr beschäftigt hat. Zu Jahresbeginn schnappten die Beamten etwa einen 50-jährigen Italiener in einem Reisebus, der rund 1,3 Kilogramm Kokain in seinem Körper versteckt hatte - ein Rekordwert, wie die Behörde mitteilt.
Den aktuellen Fall nimmt der Zoll nun erneut zum Anlass, um auf die Gefahren des Körperschmuggels aufmerksam zu machen. "Vollkommen egal, ob mehr als ein Kilo oder wenige Gramm: Jede Art von Körperschmuggel ist extrem gefährlich. Wenn nur ein Päckchen im Körper aufgeht, ist das Leben des Schmugglers nicht mehr zu retten, selbst, wenn ein Arzt direkt daneben steht", betont Ahland.
Titelfoto: Bildmontage: Sina Schuldt/dpa, Hauptzollamt Köln
