Unglaublicher Fund: Mann mit Kokain und Heroin im Bauch auf dem Weg zur Familie
Köln - Eigentlich wollte ein 31-jähriger Italiener nur zu seiner Familie reisen. Doch im Zug von Düsseldorf nach Salzburg flog der Mann mit Hunderten Gramm Drogen in seinem Körper auf.
Laut Polizei kontrollierten vor rund vier Wochen Zollbeamte einen Reisenden im Zug. Der Mann gab an, seine Familie besuchen zu wollen, doch seine Antworten wirkten auf die Beamten widersprüchlich. Dazu kam: Der 31-Jährige war sichtlich nervös und hatte kaum Gepäck dabei.
Ein Drogenwischtest an den Handinnenflächen brachte schließlich den nächsten Hinweis: Er reagierte positiv auf Kokain. Die Einsatzkräfte entschieden sich deshalb für eine genauere Untersuchung.
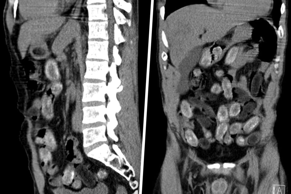
Eine Röntgenaufnahme in einem nahe gelegenen Krankenhaus bestätigte schließlich den Verdacht der Ermittler: Der komplette Magen-Darm-Trakt des Mannes war voller Drogenpäckchen.
Unter medizinischer Aufsicht schied der Mann die Päckchen nach und nach aus. Insgesamt 75 Bodypacks, gefüllt mit rund 450 Gramm Kokain und etwa 300 Gramm Heroin, hatte der 31-Jährige geschluckt.
Laut Zoll ist diese Art des Drogenschmuggels extrem riskant. "Das Risiko beim Körperschmuggel ist extrem hoch. Wenn nur ein Drogenpäckchen im Körper aufgeht, ist das Leben des Mannes nicht mehr zu retten, selbst wenn ein Arzt direkt danebensteht", so Jens Ahland, Pressesprecher des Hauptzollamts Köln.
Die sichergestellten Drogen haben laut Zoll einen Straßenwert von fast 50.000 Euro. Nach seiner Festnahme wurde der Italiener an das Zollfahndungsamt Essen übergeben. Die Ermittlungen zu dem Fall laufen weiter.
Titelfoto: Bildmontage: Hauptzollamt Köln
