Mann findet Bruder leblos: Was man dann in seinem Körper entdeckt, macht Ärzte ratlos
Japan - Als ein Mann aus Japan seinen Bruder bewusstlos auffand, war ihm nicht klar, dass dieser wenig später im Krankenhaus versterben sollte. Ärzte stellten daraufhin einen riesigen Blasenstein in seinem Körper fest. Wie dieser entstand, sollte den Tod des Patienten zu einem bizarren Fall machen.
Der Mann, der sich in seinen Sechzigern befand, hatte drei Jahre lang unter wiederkehrenden Bauchschmerzen gelitten. Zwei Wochen vor seinem Tod klagte er über Appetitlosigkeit und Durchfall.
Nachdem er dann in Ohnmacht gefallen war, wurde er in ein Krankenhaus eingeliefert, wo Ärzte zwei Tage lang vergeblich um sein Leben kämpften. Eine Computertomografie zeigte dabei einen Fremdkörper in der Nähe seines Rektums. Worum es sich dabei genau handelte, zeigte erst die Obduktion nach seinem Ableben:
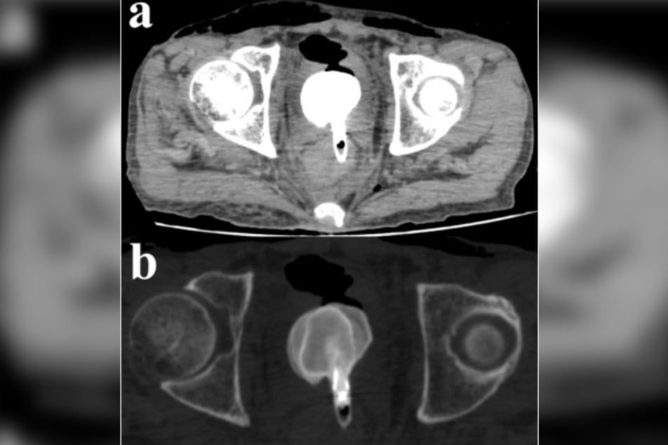
Ein fassungsloser Gerichtsmediziner fand laut einem Bericht von "ScienceDirect" einen Aluminium-Kajalstift im After des Toten. Am neun Zentimeter langen Stift hatte sich ein massiver Blasenstein mit einem Ausmaß von 6,5 Zentimeter x 6 Zentimeter x 4 Zentimeter gebildet.
Dies geschah, da sich der Fremdkörper durch die Vorderwand des Rektums und die Hinterwand der Blase des Mannes gebohrt hatte. Zudem war eine der Nieren geschwollen und gerötet, die Milz vergrößert und seine Harnleiter gedehnt.
Sexuelle Aktivität bringt Mann Jahre später zur Strecke
Als Todesursache galt nach der Obduktion eine Sepsis, die durch eine Nierenbeckenentzündung ausgelöst worden war.
Wie der Eyeliner aus Metall in den Körper des Patienten gelangen konnte, ist nun Teil der polizeilichen Untersuchung. Die Ermittler fanden bisher heraus, dass der Mann häufig Frauenkleider trug und Vibratoren benutzte.
Die japanischen Forscher Tadashi Hosoya, Kazuki Harada und Jun Kanetake, die den Fall in einer Studie aufarbeiteten, merkten an, dass "sexuelle Aktivität als mögliche Todesursache in Betracht gezogen werden sollte, selbst wenn sie mehrere Jahre zurückliegt".
Titelfoto: Bildmontage: sciencedirect.com/Forensic Science International: Reports/article/pii/S2665910724000343
